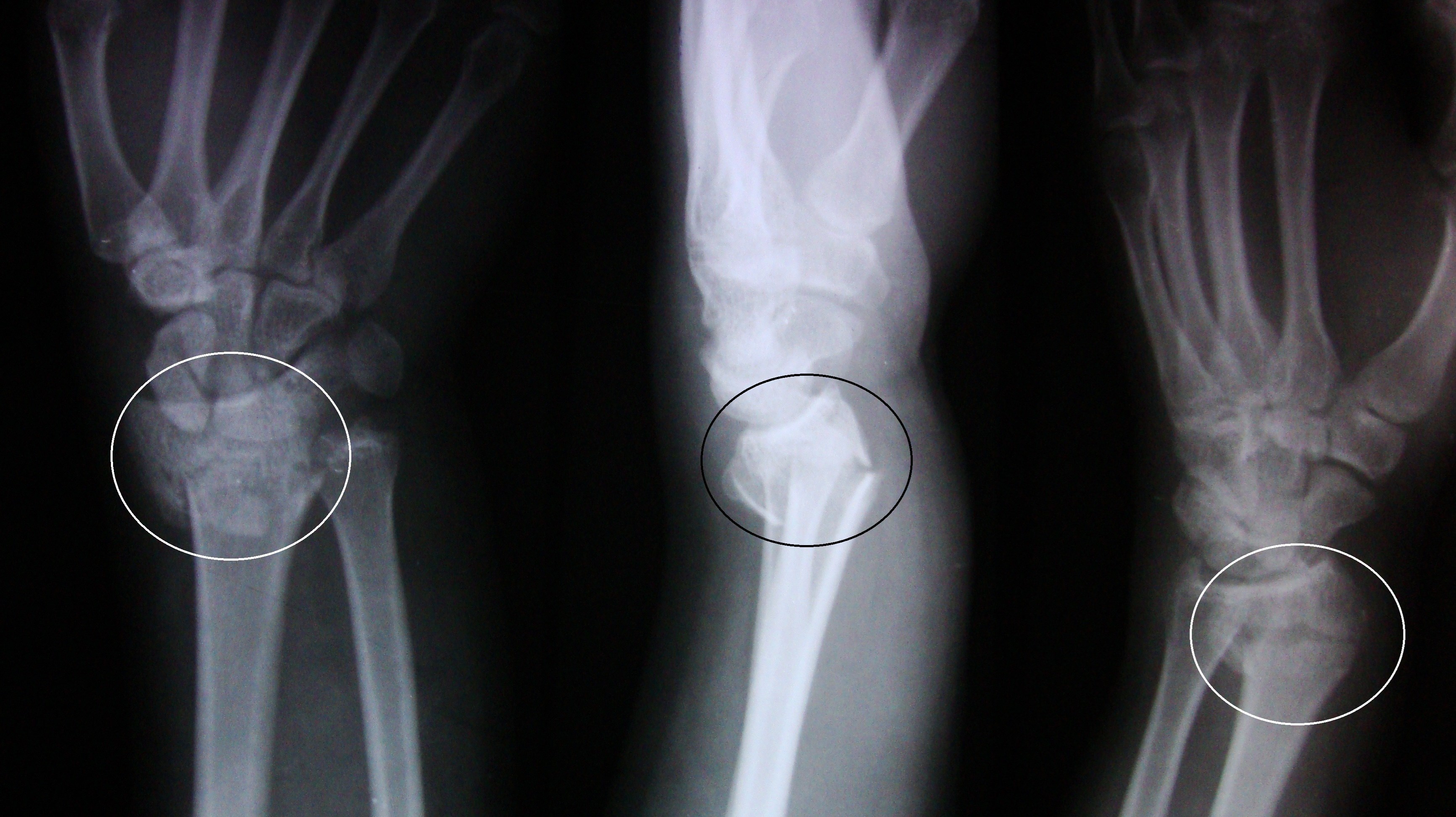
Дистальный метаэпифиз лучевой кости фото - смотри 30 фото
Найдено фото: 30
Смотрите также
- Банк втб ш космонавтов 115 пермь фото
- Как выглядит значок мицубиси
- Корпоративный университет ржд бутовский тупик 1а фото
- Крестовский остров фото
- Оформление дома в русском
- Поздравление ко дню учителя открытка фото скачать
- Как починить текущий бачок
- График ребенка 3 лет
- Дизайн спальни 2025 новинки фото
- Елочные игрушки из бумаги схема
- Как быстро снять артериальное давление
- Биология 7 класс стр 11 таблица
- Математика 7 лет распечатать
- Проект профессии и производство
- Пример образовательной проектной деятельности
- Схема зала мариинского театра владивосток
- Примеры обратного действия уголовного закона
- Лиза боярская и максим матвеев фото
- Счетчик энергомера цэ6803в как снять показания
- Правильное питание проект 5 класс технология
